
TMJ
Signs of a TMJ Disorder

Everyone has two temporomandibular joints, one on each side of the jaw. Your TMJs help open and close your mouth. If your bite becomes misaligned, the cartilage is damaged, or the disc in the temporomandibular joint is eroded, you may develop a temporomandibular joint disorder (TMD).
Symptoms of TMD can vary from patient to patient, but often include:
- Stiffness in the jaw
- Difficulty opening or closing your mouth
- Clicking, grinding, or popping when moving your jaw
- Headaches and vertigo
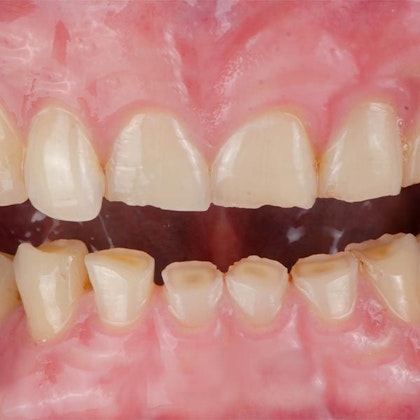
- Worn teeth and a misaligned bite
- Tinnitus, or persistent ringing in one or both ears
- Locking of your jaw
- Facial swelling
- Difficulty chewing
The Benefits of Treating TMJ At Our Albuquerque, NM, Dental Practice
Pain Relief
TMD often causes headaches, jaw pain, facial pain, and other forms of chronic pain that can interfere with daily life. By treating your temporomandibular disorder, you can ease the pain and discomfort.
Preserve Dental Health
Clenching and grinding your teeth are symptoms of TMD that can leave patients with poor dental health. If left untreated, TMJ issues can cause tooth misalignment, leading to even more wear and tear. Long-term TMJ disorders can result in the need for extensive dental restoration.
Improved Quality of Life
Migraines, chronic pain, and a locked jaw can be common with temporomandibular disorders. These conditions can stop you from living life to the fullest. TMJ treatment can relieve these symptoms and greatly improve your quality of life.
Relieve Jaw Pain
Our Albuquerque, NM, Office is Here For You
Living with headaches and jaw pain can greatly disrupt your quality of life. Long-term, TMJ disorders can lead to multiple oral health issues, requiring extensive dental treatment.
Dr. Adams at Peak Family Dentistry will do everything she can to treat your TMJ disorder without surgery. For many patients, a mouthguard is enough to alleviate TMD symptoms.
Don't risk your health by delaying treatment. Request a consultation at our Albuquerque office today or call:
(505) 293-2211

Top Reviews For our Albuquerque, NM, Office
Had a small emergency. Dr. Adam's Staff got me in quickly. As always Dr. Adams fixed the problem quickly and efficiently. If you are looking for the most professional Dentist and Staff in town Call them!
View on GoogleGreat new patient experience with the staff and Dr. Adams. Got in right at my appointment time (no waiting), and they did everything to make my cleaning + exam a pleasurable experience.
View on GoogleTreating TMJ Disorder
Oral Appliance
Also called a nightguard or a splint, an oral appliance is a custom-made device that eases jaw pressure and prevents your teeth from touching. This eliminates grinding and clenching whenever the oral appliance is worn. The splint or nightguard also prevents any damage to your teeth, protecting your oral health.
Orthodontic Treatment
For some patients, correcting a misaligned bite can help your jaw and the muscles that move it function more naturally. Our Albuquerque practice offers clear aligners for patients who qualify. By gently realigning your teeth, you can experience a decrease in headaches and other TMD-related symptoms.
Identifying the Source of Your Jaw Pain
It is important to know that experiencing jaw pain does not necessarily mean you have TMD. Other conditions, such as erupting wisdom teeth or an abscess, can also be sources of jaw pain. Dr. Adams can evaluate your jaw in person to determine the source of your pain and recommend the appropriate treatment.
Albuquerque Trusts Us for Their Dental Care More 5-Star Reviews From Our Patients
Very organized, extremely competent, and pleasant office and staff. Exceptional attention to education and explanation. Best I have ever had in dental care.
View on GoogleEveryone was superb, I felt no pressure in regards to suggested course of treatment.Would definitely recommend.
View on Google






